NEXT MRI
We introduce you to model Next MRI product of PhysioMRI, the machine that will make possible the new generation of Magnetic Resonance Imaging.
Features
100% Portable
Connect to standard power grid for immediate operation anywhere. No specialized infrastructure required, bringing advanced diagnostics to previously underserved locations.
Plug and Play Operation
Simplified user experience eliminates complex setup procedures. Medical staff can focus on patient care rather than equipment configuration, reducing training time by up to 60%.
High Quality Images
Advanced technology delivers exceptional image clarity for accurate diagnosis from subtle injuries to complex anatomical structures, supporting precise clinical decision-making.
Our innovative design eliminates the need for a Faraday cage, dramatically simplifying installation while maintaining exceptional performance. There’s no longer a need to compromise quality for portability and accessibility.
At PhysioMRI, we’ve redefined medical imaging by combining portability, user-friendliness, unmatched image quality, and advanced technology that opens up new possibilities in healthcare.
*Gradients, with maximum of 12mT/m within 0.5ms, with 15A and 15V amplifier, reach peak dissipated power of 25W.
Imaging sequences include T1 RARE, T2 RARE, STIR RARE and RHO RARE all directed by a user interface. The equipment has a fully programmable Python environment.
A new generation of MRI scanners that operate with a low magnetic field (87 mT), are lightweight, portable and exploit efficient spatial coding schemes to enhance the diagnostic value of the resulting images, thus shifting the paradigm from highly sophisticated and expensive hardware to extremely efficient methods that balance rapidly growing healthcare costs worldwide. The elliptical bore of this new generation of MRI scanners allows imaging of the head and extremities.
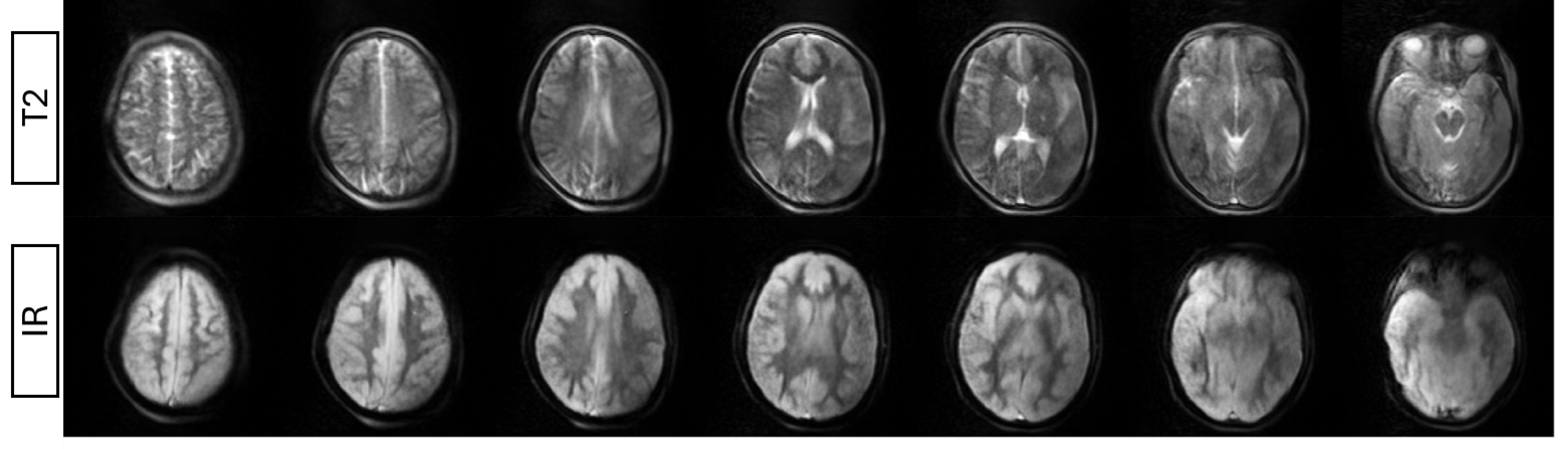
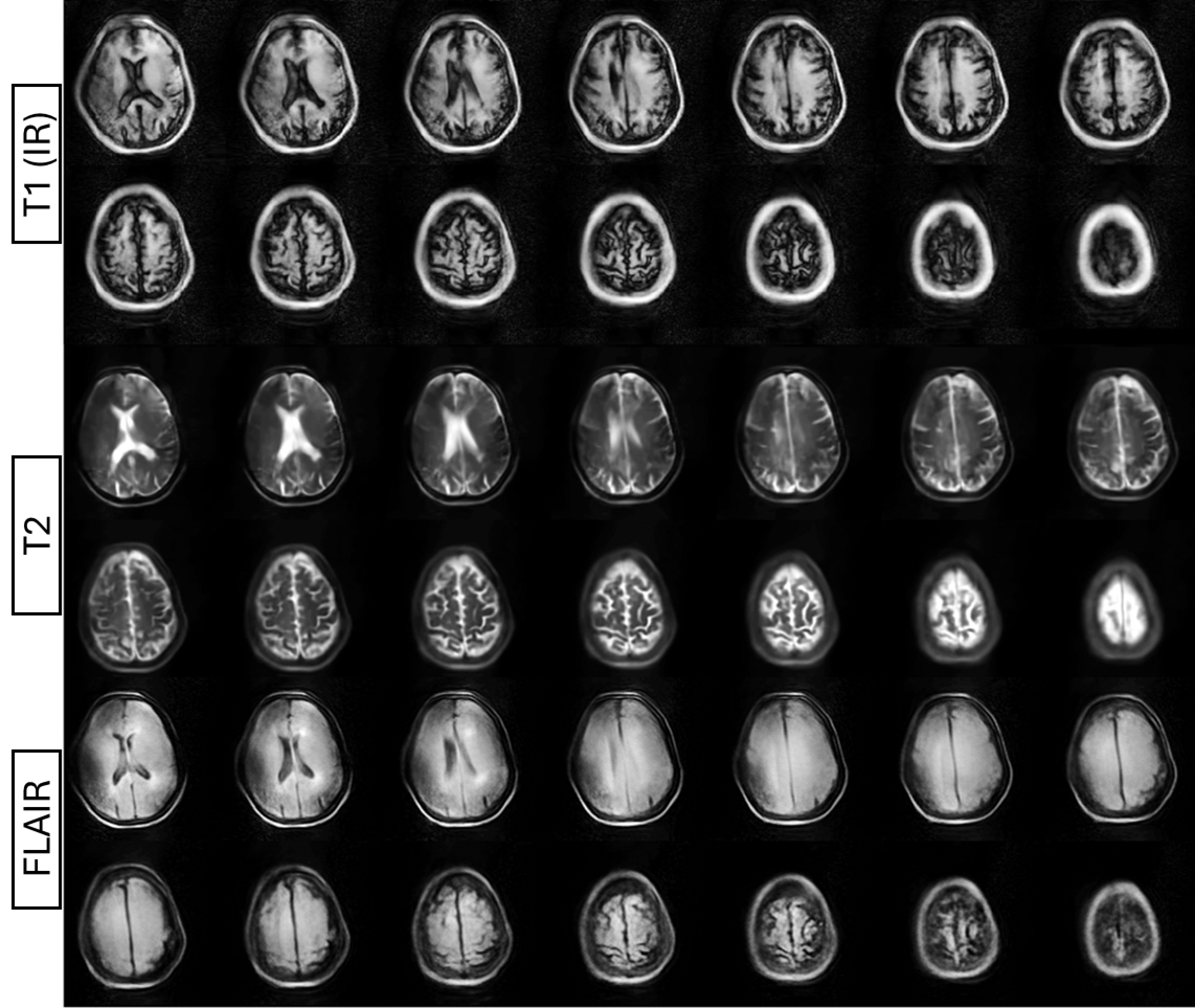
Images made With Next MRI
With Next MRI you can investigate quickly and accurately, here we leave you some of the test images we have carried out.
Knee Image
Clear visualization of ligaments, menisci, and articular cartilage enables accurate diagnosis of traumatic injuries and degenerative conditions. The system’s portable nature allows point-of-care imaging for sports medicine applications.
Hands Image
Exceptional soft tissue contrast for evaluating rheumatologic conditions, tendon injuries, and small joint abnormalities. The Next MRI’s dedicated coils optimize signal-to-noise ratio for these specialized applications.
Ankle Image
The Next MRI delivers detailed visualization of complex ankle anatomy, including tendons, ligaments, and the tibiotalar joint. This enables rapid assessment of sports injuries and chronic conditions without the need for specialized facilities.
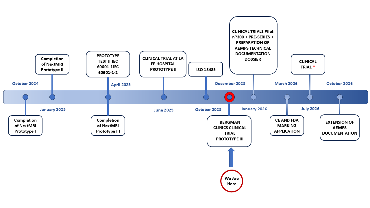
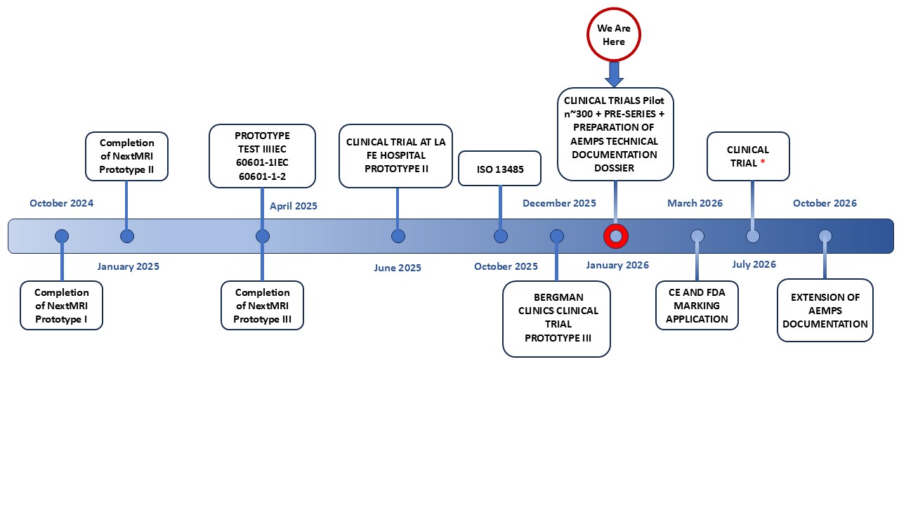
TIMELINE NEXTMRI CERTIFICATION PROCESS
* Normally, the AEMPS (Spanish Agency for Medicines and Health Products) usually requests modifications to the documentation submitted before accepting it and generating the CE marking. Therefore, it is expected that the clinical trials will be repeated, including the feedback provided by the notified body, in order to complete the submission of all the required documentation.
© 2025 PhysioMRI. All Rights Reserved.
